La Tac cardiaca, o tomografia computerizzata del cuore, è un esame diagnostico non invasivo che permette di osservare con grande precisione l’anatomia del cuore e delle arterie coronarie. Scopriamo insieme come funziona.

Cosa è e come funziona la Tac cardiaca
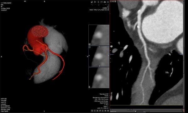
Entrando più nello specifico la Tac cardiaca produce immagini dettagliate a “strati” del cuore, consentendo ai medici di valutare la presenza di eventuali anomalie, restringimenti o calcificazioni nelle arterie. Come il suo nome indica questo esame si basa sul principio della tomografia computerizzata, una tecnologia che acquisisce numerose immagini radiografiche da diverse angolazioni.
Tutto mentre il paziente si trova sdraiato su un lettino. Il lettino scorre lentamente all’interno di un apparecchio a forma di anello, chiamato scanner, che ruota attorno al torace. Durante la scansione, un computer elabora tutte le immagini raccolte e le ricostruisce in modelli tridimensionali estremamente dettagliati del cuore e dei vasi sanguigni.
Per rendere le immagini ancora più chiare, nella maggior parte dei casi viene utilizzato un mezzo di contrasto a base di iodio. Questa sostanza viene iniettata in una vena del braccio e permette di evidenziare meglio il flusso del sangue all’interno delle arterie coronarie. Dobbiamo ricordare che il mezzo di contrasto rende più visibili eventuali restringimenti o ostruzioni, che possono essere causati da aterosclerosi. Ovvero da depositi di grasso e calcio nelle pareti dei vasi sanguigni.
Prima dell’esame, il medico può chiedere al paziente di evitare caffeina e fumo nelle ore precedenti, perché queste sostanze possono accelerare il battito cardiaco. Talvolta viene anche somministrato un farmaco per rallentare leggermente la frequenza cardiaca, in modo da ottenere immagini più nitide. Durante l’esame è importante restare immobili e trattenere il respiro per alcuni secondi quando richiesto dal personale sanitario. L’intera procedura è generalmente rapida e dura in media tra i dieci e i venti minuti.
Utile per controllare lo stato delle coronarie

La Tac cardiaca viene utilizzata soprattutto per studiare le coronarie, che hanno il compito di portare ossigeno e nutrienti al cuore. Ed è particolarmente utile quando si sospetta la presenza di malattia coronarica, ovvero quando le arterie si restringono o si ostruiscono, aumentando il rischio di angina o infarto.
Questo esame può rivelarsi utile in persone che presentano dolore toracico di origine incerta, oppure in pazienti con fattori di rischio cardiovascolare come ipertensione, colesterolo elevato, diabete o familiarità per malattie cardiache. Oltre a individuare restringimenti delle coronarie, la Tac cardiaca può anche valutare la presenza di calcio nelle arterie, studiare alcune malformazioni cardiache congenite e controllare lo stato di bypass o stent già impiantati.
La Tac cardiaca, grazie alle sue caratteristiche rappresenta oggi uno strumento importante nella diagnosi precoce delle malattie cardiovascolari. Contribuendo a migliorare sensibilmente la valutazione del rischio cardiaco.